Our Gallery

Contacto

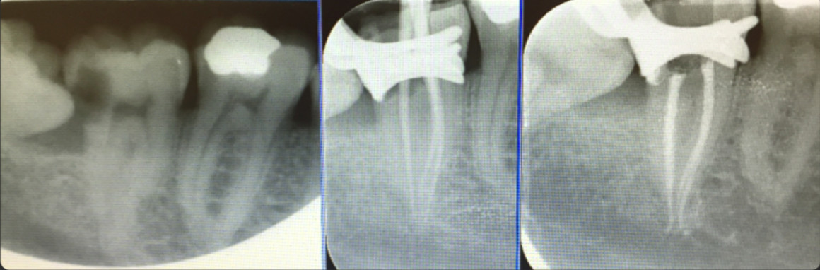
Endodoncia

Realizamos técnicas de endodoncia avanzada, que incluyen endodoncia microscópica, diferentes técnicas rotatorias, obturación termoplástica, revascularización de dientes jóvenes traumatizados y otras técnicas novedosas.